Combined desiccation treatments of hybrid larch (Larix x eurolepis) somatic embryos resulted in reduced water content keeping their germination and conversion rates: multi-scale characterizations

Napsal uživatel Kateřina Eliášová dne Út, 05.08.2025 - 11:26

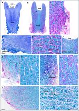
It is assumed that the production of somatic embryos (SEs), which closely resemble fully mature zygotic embryos (ZEs), increases the chance of producing somatic plants equivalent to seedlings. Desiccation is crucial to reduce the water content of SEs and to initiate biochemical changes that support germination and conversion into plants. We investigated the biological, histological, biochemical and molecular changes in the SEs of hybrid larch Larix eurolepis exposed to desiccation at high relative humidity (RH; 98 %), reduced RH (59 %), or a combination of both. Desiccation at 98 % RH (D98) resulted in starch reduction, sucrose synthesis and a decrease in abscisic acid content without affecting germination and plant frequencies. In addition, proteomic results showed that D98 directed SE metabolism towards the acquisition of desiccation tolerance and energy storage. These modifications were proven to be favourable for SE germination. Desiccation at 59 % RH (D59) reduced the water content to a level corresponding to that of dried zygotic embryos. It could negatively impact the germination rate. The response of D59 SEs was directed towards the activation of defence mechanisms, while modifications favouring desiccation tolerance were suppressed. The treatment, which combined the two desiccation modes successively, yielded the positive effects of D98 while reducing the water content of SEs, similar to D59. Overall, our results provide new insights into the processes associated with the desiccation of hybrid larch SEs. We have developed an effective desiccation method resulting in a reduced water content comparable to that of dry ZE, while ensuring a high germination rate and successful conversion into plants.

Typ publikace
Periodikum nebo kniha
Datum vydání